业务咨询
【评价原理】
斑马鱼成鱼的各种生理生化系统和内分泌系统已完全发育完毕,如肝脏、肾脏、心脏、神经系统等器官的功能都已趋于稳定和成熟。成鱼的代谢过程相对稳定,对于外源物质的代谢和排泄具有一定的规律性。在长期暴露于有毒物质时,其体内的代谢平衡可能会被打破,通过检测相关代谢产物的含量、代谢酶的活性等指标,可以了解有毒物质对机体代谢的影响,进而评估其慢性毒性。在毒理学研究中,斑马鱼成鱼对许多化学物质的毒性反应与哺乳动物相似,包括氧化应激、炎症反应、细胞凋亡等方面。成鱼的体型较大,能够更清晰地观察其外部形态和行为变化。长期暴露于有毒物质后,可能会出现体长和体重的变化、游泳行为的异常、食欲减退等症状,这些表型特征可以作为慢性毒性评价的重要指标。可以对成鱼的不同器官进行组织切片和病理学检查,观察组织结构的变化和细胞损伤的情况。如肝脏的脂肪变性、细胞空泡化,肾脏的肾小管损伤,心脏的肌纤维排列紊乱等,从而深入了解有毒物质对器官的慢性毒性作用机制。
我们评价斑马鱼亚慢性毒性(3个月)有4个指标:1.实验前后斑马鱼体重、体长;2. 死亡率;3. 观察和记录其他非致死效应;4. 病理切片。
【实验方案】
我们将受测试斑马鱼分成六组,分别是正常对照组和水溶暴露供试品组(五组)(供试品通过溶解到养鱼用水中摄入到斑马鱼体内)。
水溶暴露供试品一段时间过程中,我们对斑马鱼每天进行观察非致死效应和死亡情况,在终点测量斑马鱼体重、体长;处理结束后,将各组斑马鱼固定,脱水、包埋、切片、H&E染色等步骤,进行组织病理学分析观察。
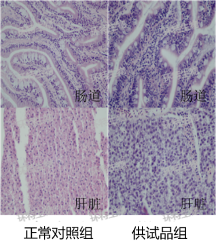
【结果展示】

图1. 样品脏器病理切片
可以看到,供试品组肠道绒毛变短,且肝脏脂质沉积。
【评价结论】
1.供试品诱导斑马鱼肠道绒毛变短,且肝脏脂质沉积,证明供试品诱导肠道毒性以及肝脏毒性。
严正声明:以上内容所涉及的核心知识产权归杭州环特生物科技股份有限公司所有。任意第三方机构或个人在未经授权的前提下抄袭、剽窃、恶意传播均属侵害我司正当权益的行为,我司不排除诉诸一切法律手段维护自身合法权益。